Future is here
BoneEasy is a company that creates personalized medical devices for patients to help clinicians perform better and less invasive treatments. Using advanced technologies and software, BoneEasy is able to manufacture medical devices that meet the specific needs of each patient.
Our products

Implantize Compact
Midface plating and tissue level dental implants
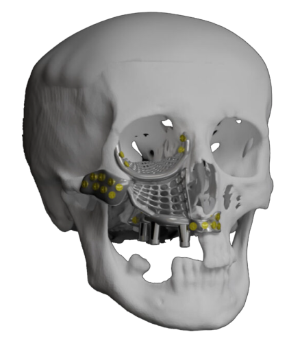
Implantize Compact is a new dental device that combines midface plating with tissue level dental implants. This innovative system involves preparing the remaining alveolar bone to place the connection near the basal bone, and then fixing it in place using Lefort I individualised plates for the maxilla and Champy plates for the mandible. The result is a more stable and secure implant that can help patients achieve optimal oral health and a beautiful smile. With Implantize Compact, dental professionals have a new tool to provide better, more effective treatments for their patients.
4U MESH
Guided Bone Regenerative
MESH4U is a bone growth solution that aids in guided bone regeneration. Produced by BoneEasy, the mesh design comes in different porosity levels of 40%, 60%, and 80%. It contains bone substitute granules and provides stability at the site of bone atrophy, which is crucial for the bone regeneration process. The mesh design is created following the principle of the least amount of metal possible interacting with bone and soft tissue, making it a reliable and effective solution for bone growth.


ICMF
Cranio Maxillofacial Prosthesis
ICMF is a range of medical devices that are used to replace or reconstruct maxillofacial cranial defects, which can be caused by various reasons such as trauma or tumor. The purpose of these devices is to restore function in the affected areas. The structures are individually designed for each clinical case using computerized tomography of the patient, ensuring a precise fit. iCMF is an innovative solution for patients suffering from maxillofacial cranial defects, providing them with a custom-made prosthetic that can improve their quality of life.

